Avoiding $10,000 in Unnecessary Dental Work
If I had listened to the first guy's opinion, half my jawbone would have been replaced by now and I'd have taken on ten grand in medical debt. Good thing I didn't.
Like many Americans, I’ve never been especially good at keeping up with my dental care. Going to the dentist often feels pointless, and it seems all they do is charge you for X-rays and poke your mouth with sharp metal objects.
“Are you brushing twice a day and flossing?” they ask, then schedule you for a follow-up visit in the next six months. That’s annoying.
During the COVID pandemic, I got out of the habit of doing regular dental visits for so long that when I finally did make time to go to the dentist because I was having pain in my lower jaw, it turned out it had been about three years since I’d seen a dentist.
Whoops.
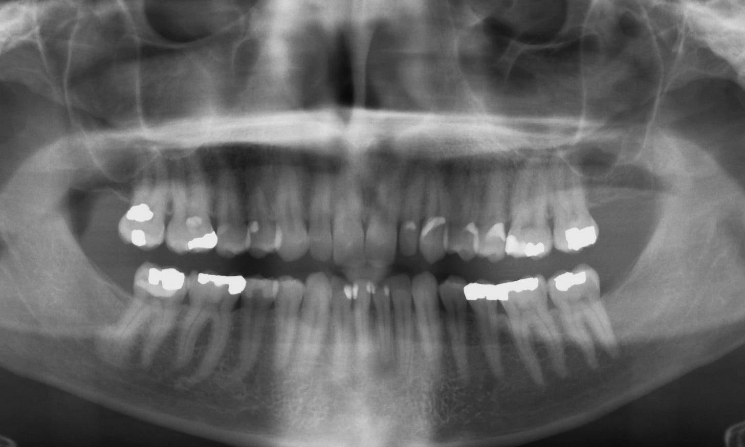
This was bad. Not bad because I missed those obnoxious cleanings where they look at my teeth, tell me it doesn’t look like I’m doing a good job flossing, and then brush my teeth with pumice and dirt, but because something very bad was going in my lower jaw. This time, my routine X-rays showed that I had “a significant amount of bone loss.”
Huh? Bone loss? What does that even mean?
Apparently, it’s when the bone in your jaw just… disappears, or wears down, or goes away somehow. Why was this happening? They had no idea.
They referred me to an endodontist to look at my teeth roots to decide if I needed one or more root canals.
So I went to the endodontist and got even more X-rays, and then came the bad news.
“Wow, you have a significant amount of bone loss in your lower jaw.” They said.
“I know,” I responded, annoyed. “That’s what the dentist told me. But what does that mean?”
The man told me that I had an abscessed tooth with an infection that went down so deep into my jaw that it was spreading to my other teeth. I was missing a lot of bone in my lower jaw and would probably need at least three root canals, and maybe even four.
In fact, he said, my jaw looked so bad that he recommended I have all four of my bottom teeth pulled and replaced with implants and bone grafts.
What? Why? How did this happen? I wondered.
I asked him, “Why do you keep saying ‘bone loss?’ What does that mean, and how could that have even happened?”
What he said next would have knocked me to my feet if I hadn’t already been sitting in his chair.
“It looks like you’ve had major facial trauma. Were you in a car accident? Or were you punched in the face?”
WHAT?! I wondered. Was this a joke?
No, I’d never been in a car accident in my entire life, and I’d never been punched in the face, either. Why was he even asking this? Did I look like the kind of guy who would get in a bar brawl or something?
“No,” I said. “I can’t remember ever being punched in the face. And no, I’ve never been in a car accident.”
“That’s weird,” he noted. “Usually, we only see this kind of damage with people who’ve been punched in the jaw or who hit their face on a steering wheel. Or maybe they fell down a flight of stairs and smacked their jaw on the pavement.”
Nope, nope, nope. None of these applied to me.
I asked what my options were, and I was told I had three choices:
Option #1: Get an emergency root canal on the tooth causing me pain right now, then discuss what we can do next.
Option #2: Get a root canal on all four bottom teeth, then get crowns put on them, and hope that maybe, somehow, it’s not too late and my entire lower jaw won’t die, and all the teeth fall out anyway.
Option #3: Get all the teeth pulled, get bone grafting done, and have implants put in.
“You’re sure you’ve never been punched in the face?” He asked again.
By now, I was almost livid, totally confused, and nearly becoming delirious.
“No! I’m very certain I would remember if I’ve ever been punched in the face! Don’t you think I would know that?” I almost shouted at him.
I hated all of my options. The endodontist really pushed me to make a decision right away. I said I needed time to think about it.
“By the way, how much will all of this cost?” I asked.
The lady at the front desk took a few minutes to work up a quote and handed it to me.
It was more than $10,000.
I was shell-shocked by this whole ordeal: I had walked in there thinking I needed a root canal to help me fix one tooth that hurt, and now I was looking at a bill of over ten grand for massive, emergency oral surgery and may have to replace most of my lower jaw.
I chose the first option, scheduling a single root canal for the tooth causing me pain, and then I would referred to a periodontist to see about bone grafting and implants.
I walked into the periodontist’s office a few days later, nearly in a stupor, waiting for him to give me the bad news.
“Well, I have good news and bad news. The bad news is your jaw looks horrible. The good news is, I don’t think all your teeth are dead yet.”
With an ironic twist, he then said, “I’ve been in this business for over 40 years, and the more I put in implants, the more I like teeth. I think we should try keeping as many of your teeth as possible.”
Now, this was good news.
With his guidance, I got the first root canal and then had a crown put on it.
Then, we waited.
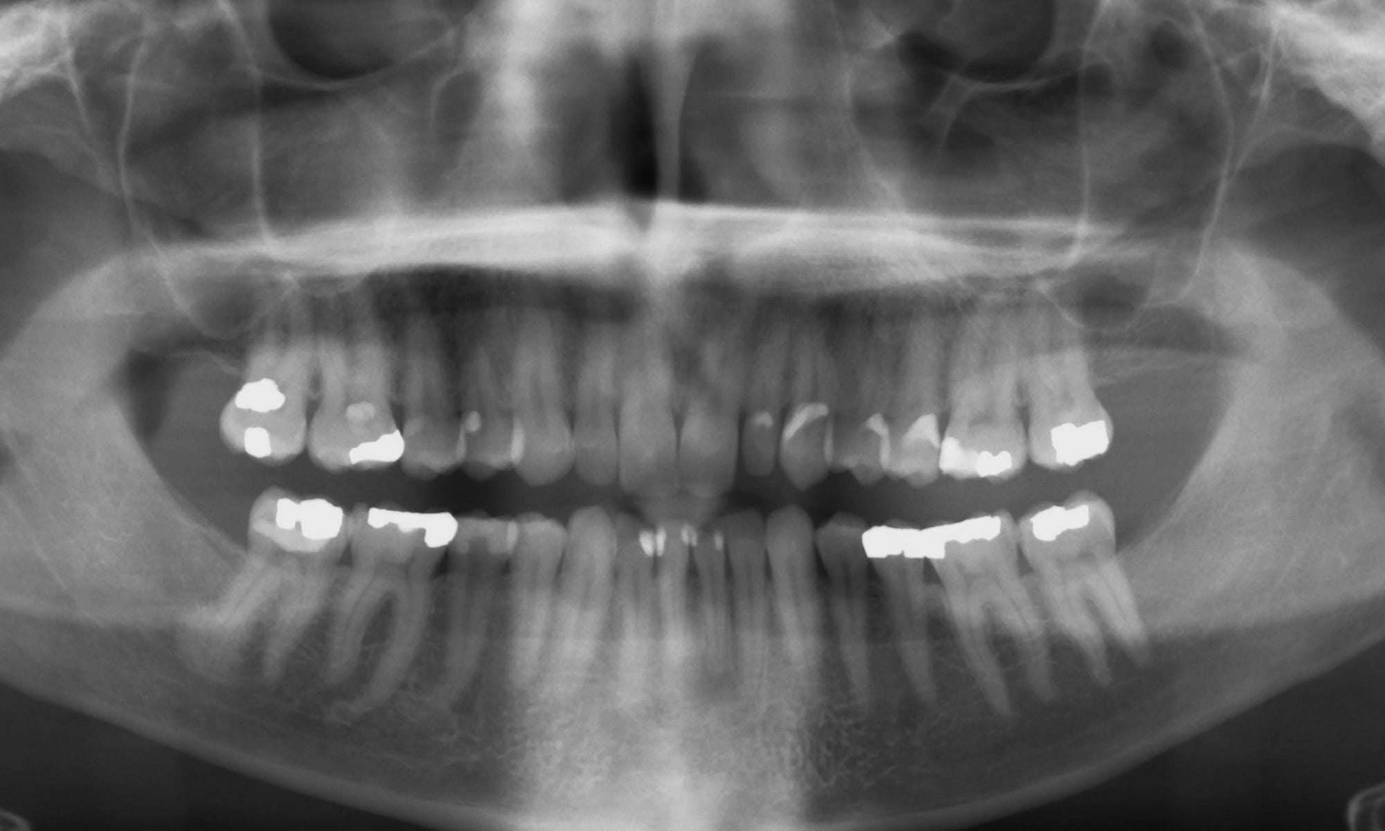
We waited for six months; then I scheduled a follow-up appointment with the periodontist. He said it appeared that, in fact, my three remaining teeth were still alive. And that, somehow, the bone had started growing back, which he had not been expecting. And that maybe we only needed to do the one root canal and that’s it. We may be able to save almost everything after all.
I was told to wait for six more months and then go see the endodontist for a final evaluation.
So I did, and he told me my three other teeth were still looking good; it appeared the infection had been completely stopped, and my lower jawbone had grown back even more.
He told me I was now free to go. Unless I started feeling pain again, I may be able to just walk away from this whole experience with one single root canal.
“So, hold on,” I said. “You’re telling me that when I first came in here, I was told that I had to spend at least $10,000 to rip out half my lower jaw and get implants? …and now you’re telling me that just one single root canal may have been sufficient?”
“Uh, well, yeah, that’s one way of putting it, I guess,” he said, embarrassed.
That is DEFINITELY the way I’m going to put it.
Throughout this whole experience, I had visited:
A dentist to get a cleaning and X-rays.
An endodontist to get evaluated for a root canal and get more X-rays.
A periodontist to get evaluated for implants and get more X-rays.
An endodontist to get a root canal and get more X-rays.
A dentist to get a crown and get more X-rays.
A periodontist to have a follow-up evaluation and get more X-rays.
An endodontist to have a follow-up evaluation and get more X-rays.
I needed at least SEVEN visits with dental professionals to get clarity on what was going on. After being quoted a massive price for a horrifying procedure, all I ended up doing was paying around $1,000 for one single root canal, and… it appears everything’s fine so far.
What I learned from this experience, above everything else, were three main lessons:
#1: “Get a second opinion” is very good advice.
Do not go with the first quote you get for a medical procedure. Do your research and find out what other people think.
#2: Do not rush to make medical decisions.
Take your time, and don’t immediately agree or commit to anything when it comes to major facial surgeries or expensive medical procedures.
As with my case, it may turn out that you may not even need them!
I’m already a very conservative person in most regards, and especially regarding medical interventions. But when my jaw was really hurting, I might have agreed to almost anything in order to make the pain stop.
I’m really glad I didn’t.
#3: Do not skip regular dental appointments.
By the time I was feeling pain in my tooth, the invisible infection had been raging below the surface for so long that it was spreading out of control and infecting the other teeth as well.
If I had been able to catch it a few months or even a year or two earlier, I might not have needed anything so drastic.
As it stands now, I may need implants after all… eventually, someday in the future. That’s fairly normal, though: teeth and jawbones naturally wear down as you age.
But, at this point, it looks like I averted a long, expensive, complicated, and painful procedure that was totally unnecessary. So, congratulations to me for being stubborn, no thank you to that first endodontist for trying to rush me, and congratulations to you for reading this (if you are): hopefully, you can learn from this and avoid making major, expensive mistakes with medical decisions yourself.
Whew. What a crazy few weeks those were. I’m glad it’s over.




